A 68-year-old man with no relevant past medical history presented with a 1-week history of asymptomatic skin lesions on both flanks, the abdomen, and the lumbar region. Two weeks earlier he had been prescribed ambroxol for a common cold, which had already resolved. The patient denied fever, asthenia, weight loss, nocturnal diaphoresis, or other systemic symptoms.
Physical examinationMultiple rounded, nonconfluent, erythematous-violaceous papules and plaques were observed (Fig. 1). Mucous membranes were spared. Vital signs were within normal limits. No locoregional lymphadenopathy was palpable.
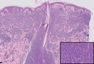
HistopathologyA significant mononuclear cell infiltrate was observed, with a high nuclear-to-cytoplasm ratio and occasional irregular nuclei. The infiltrate extended from the superficial to the deep dermis, with denser concentrations in the papillary dermis and surrounding adnexal structures, without epidermotropism. Cell morphology is detailed in the lower right quadrant (Fig. 2).
Additional testsImmunohistochemistry showed positivity for CD3, CD2, CD7, CD8, and terminal deoxynucleotidyl transferase (TdT) (Fig. 3), with low CD4 expression and a high Ki67 proliferative index (70–80%).
Laboratory testing revealed elevated β2-microglobulin levels (5.12mg/dL; normal range, 0.00–2.00mg/dL), with no other abnormalities.
Peripheral blood immunophenotyping identified an aberrant T-cell population representing 8.5% of leukocytes, positive for CD3, CD5, and TdT, and negative for CD56 and CD10.
What is your diagnosis?
DiagnosisT-cell lymphoblastic lymphoma (T-LBL).
Course of the disease extent and outcomeBone marrow biopsy demonstrated infiltration by a lymphoproliferative process positive for CD3, CD7, CD2, and CD5 and negative for CD20 and CD79a. Large lymphocytes with a blastic appearance were also observed, showing positive staining for CD117, TdT, and CD1a. These findings confirmed the diagnosis of T-LBL.
Total-body computed tomography revealed a mediastinal mass. Intensive chemotherapy with vincristine, daunorubicin, peg-asparaginase, and dexamethasone was initiated. However, the lymphoma progressed and eventually involved the central nervous system, leading to the patient's death 6 months after diagnosis.
DiscussionCutaneous involvement in patients with T-LBL is uncommon. The most frequent cutaneous manifestation consists of multiple nodules, although papules and plaques, purpura, or ecchymoses may also occur.1 These lesions are typically located on the cephalic pole and trunk and are associated with a poor prognosis, as they are usually accompanied by systemic lymphoma involvement.2,3
When cutaneous involvement occurs, the most common sites of systemic disease, in descending order of frequency, are the lymph nodes, bone marrow, and mediastinum.1 In the present case, bone marrow biopsy and computed tomography confirmed bone marrow and mediastinal involvement, respectively.
The findings in this case align with previous reports describing cutaneous lymphoblastic lymphoma. Significant clinical differences have been observed between cutaneous T-LBL and B-LBL. Notably, T-LBL commonly presents with multiple lesions disseminated across various body regions, such as the back, chest wall, and extremities, whereas B-LBL lesions tend to be solitary and predominantly located on the head and neck.4
Differentiating T-LBL from other pathologic entities can be challenging because several conditions may present with similar cutaneous findings and systemic symptoms. Immunohistochemical studies are essential to differentiate T-LBL from other entities and confirm the diagnosis. Specific T-cell markers such as CD3, together with markers of immature cells such as TdT, CD99, CD34, or CD1a, help distinguish T-LBL.5,6 Notably, positive expression of TdT appears to have greater sensitivity for the diagnosis of T-LBL than other markers.5
In this case, cutaneous involvement was the initial sign of T-LBL. Clinicians should be aware of this potential presentation, as it may indicate an underlying severe systemic disease in which earlier recognition could improve patient prognosis.
Conflict of interestThe authors declare no conflict of interest.




